
Advancing Personalized Cancer Vaccines: IMMUNEO’s BITAP Project Receives Support from Brandenburg’s ProFIT Innovation Program IMMUNEO Therapeutics GmbH is pleased to announce the successful approval of its ProFIT Brandenburg innovation grant. The funded research project, “BITAP – BioInformatic Therapy Address Peptides,” focuses on developing next-generation, AI-powered peptide immunotherapies designed for highly personalized and group-specific cancer treatment strategies. Over the next 29 months, IMMUNEO will expand its research and development activities at the University Hospital Brandenburg an der Havel and the Medical School Brandenburg (MHB). Supported by the ProFIT program administered by Investitionsbank des Landes Brandenburg (ILB) and coordinated with WFBB (Brandenburg Economic Development Corporation), the project aims to establish a cutting-edge bioinformatics and immunology platform that combines machine learning, peptide design, and tumor genomics. The technology will enable precise identification of tumor-specific neoantigens and their translation into patient-tailored BITAP immunizations and standardized Pan-BITAP vaccines for cancer patients with shared molecular signatures, for example, those suffering from pancreatic cancer (PDAC). The ProFIT funding will enable IMMUNEO to strengthen its R&D presence in Brandenburg, create several new scientific positions, and establish on-site laboratory infrastructures for bioinformatics and immunological platform development. By integrating artificial intelligence with state-of-the-art peptide technology, IMMUNEO sets out to improve treatment precision, reduce manufacturing complexity, and bring effective immunotherapies one step closer to real-world cancer care. This milestone underscores IMMUNEO’s mission to pioneer innovative, safe, and affordable immunotherapies, positioning the company as one of the emerging biotech innovators bridging AI-driven peptide discovery and clinical translation in Europe. Read more in our Projects page.

We are proud to share that our latest case report has been published in Frontiers in Oncology ! In this study, we describe a patient with advanced-stage prostate cancer and extensive bone metastases who responded positively to our personalized peptide-based immunization therapy (BITAP). Administered as a monotherapy, BITAP was associated with regression of both metastatic and primary tumor lesions, stabilization of PSA levels, and only mild, short-term side effects. This case underscores the potential of personalized peptide immunization as a promising therapeutic approach for treatment-resistant prostate cancer. We are deeply grateful to everyone who helped make this work possible. Read the full article here .

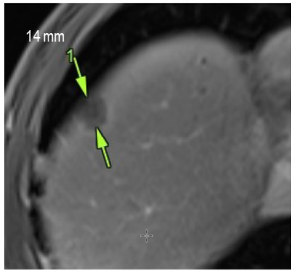
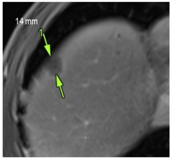
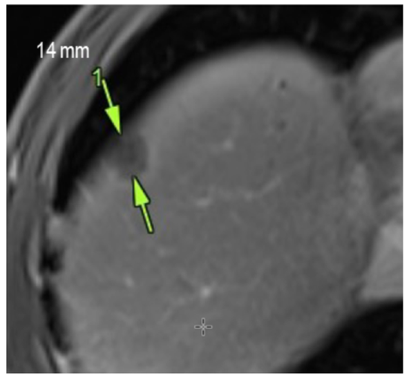
We are thrilled to share that our latest case report has been published in Frontiers in Immunology! In this paper, we present a case of pancreatic cancer with liver metastasis that showed a positive immune response to personalized immunization therapy. Our findings highlight the potential benefits of personalized peptide-based immunization as an adjunctive treatment for advanced pancreatic cancer, demonstrating promising results in tumor marker reduction, tumor shrinkage, and improved patient well-being. A heartfelt thank you to everyone who supported us along the way. Read the full article here .

We are excited to share that our latest case report has been accepted for publication in Vaccines! Cancer neoantigens arising from somatic mutations have emerged as important targets for personalized immunization. Here, we report improved overall survival in a HER2-positive metastatic breast cancer patient treated with our personalized peptide immunization, BiTAP (Bioinformatic Therapy Address Peptides). Epitopes were predicted using our in-house bioinformatics pipeline, and immunogenicity was evaluated using IFN-γ ELISPOT and intracellular cytokine staining assays. Overall, a significant peptide-specific T-cell response was observed against 18 of the 76 peptides tested (≈24%). Patient follow-up via serological markers showed a marked reduction in tumor marker levels following BiTAP immunization. In combination with standard therapy, BiTAP treatment was associated with stable disease, notable improvement in overall survival, and no serious treatment-related adverse effects. These findings demonstrate that BiTAP immunization is feasible and safe and highlight its potential to induce tumor regression in patients with HER2-positive breast cancer. We are deeply grateful to everyone who contributed to making this work possible. Read the full article here .

IMMUNEO Therapeutics announces a new collaboration with the Fraunhofer Institute to study the efficacy and pharmacology of its BITAP and PAN-BITAP peptides using advanced 3D tumor models. IMMUNEO Therapeutics has partnered with the Fraunhofer Institute, University of Würzburg, to advance understanding of the pharmacology and efficacy of BITAP and PAN-BITAP peptides across multiple tumor types. This collaboration brings together expertise from Prof. Dr. Gudrun Dandekar’s team in tissue and tumor biology and IMMUNEO’s peptide-based immunotherapy programs. The project leverages cutting-edge 3D tumor models, grown on biological tissue matrices and cultured dynamically in bioreactors, to replicate human tumor microenvironments. These models allow researchers to assess drug efficacy and safety in a physiologically relevant system, providing a promising alternative to animal testing. This collaboration, initiated in March 2023, will combine experimental tissue models with in silico systems biology analysis, aiming to generate robust preclinical data on BITAP and PAN-BITAP peptides while adhering to modern ethical and regulatory standards.